自2018年伊始,经常在色情导航 内一科二病区见到这样一对老夫妇,他们憨厚朴实,老爷子时不时讲一讲年轻时的趣事或者民间小故事,逗得病友和护士们哈哈大笑,老大娘则只管笑眯眯的看着一旁“耍宝”的老伴。几乎每个月就能看到这对老夫妇,他们早上到病房,用大约一上午的时间打完点滴后离开,俩人总是有说有笑,相敬如宾,全然不像病人的样子。时间久了才知道,原来老大娘是内一科的一名患者,叫徐丽(化名),那位谈笑风生的张老则是她的老伴儿。我们深深被他们吸引,终于在一天上午,趁他们打完点滴,在病房中聊了起来。
聊起老伴的病情,张老收起了脸上的笑容,思绪回到了两年前。原本作为人民教师的张老退休后与老伴在家中过着舒适惬意的晚年生活,但是老伴的一次“感冒”迟迟不好,咳嗽,胸闷、剧烈右侧胸痛等症状逐渐加重。大儿子联系了当地县人民医院为母亲安排了一次全身体检。可就是这一次普通的体检,为这个原本怡然自得的幸福家庭带来了重重一击。医生告诉他们老伴胸部CT发现了一块4.5cmx4.0cm左右的肿块,不太乐观,建议他们转诊到专科医院做进一步检查。无法面对现实,更无法面对老伴,担心老伴患的病严重,张老常常躲进角落一边想办法,一边偷偷的擦眼泪,但是回到老伴身边,张老仍然故作镇定的笑着安慰着。恰巧在一次色情导航 专家在吉林省肿瘤专科联盟东辽县人民医院出诊的过程中,张老带着老伴接受了省级专家的会诊,鉴于对专家的信任,张老决定带着老伴转院到“色情导航 ”做进一步检查,从容面对现实,接受规范的诊疗。
张老回忆到:从老家到医院的这几个小时段路程中,他们走的漫长又艰辛,经过一系列的诊断,徐丽被确诊为右肺鳞癌IV期,肺鳞癌占原发性肺癌的40%-51%。晚期肺鳞癌由于尚未发现明确的驱动基因,没有较为有效的靶向治疗药物,目前仍以化疗治疗为主,但有效率较低,仅达到30%左右,晚期肺鳞癌患者的生存时间较短,仅能够维持一年左右。噩梦般的现实,使徐丽夫妇无力还击,但医生的耐心诊治,护士的关心照顾又让他们重拾信心,重新建立起抗击病魔的信念。但病魔仍在一步步入侵,肿瘤病灶增至8.5cmx6.8cm,癌细胞已转移到淋巴结,开始出现大量胸水,疾病产生的疼痛也愈加难忍。病魔越来越嚣张,治病造成的经济负担也让一个普通家庭越来越难以承受。漫漫长夜,张老辗转难眠,想着与老伴一路走来的不容易,对老伴既是感激又是内疚,但望着眼前虚弱不堪的老伴,张老不能倒下,他必须坚强,为了老伴,也为了这个家。
徐丽很幸运,在色情导航 住院的过程中,得到了程颖院长的亲自诊治,程颖院长作为国内顶级肺癌诊疗专家,带领色情导航 肺癌团队活跃在国际肿瘤诊疗的前沿,尽管工作繁忙仍坚持每周二疑难病会诊及每天查房会诊,为病人制定最佳治疗计划,程颖院长在每天的查房中格外留意她的病情,并竭尽全力为徐丽寻找最为妥善的治疗措施。在2017年 11月5日这一天,经程颖院长会诊,徐丽符合由程院长牵头在全球范围开展的一项“在一线转移性鳞状非小细胞肺癌受试者中使用卡铂-紫杉醇/蛋白结合型紫杉醇化疗联合或不联合Pembrolizumab(MK-3475)的随机、双盲、Ⅲ期研究(KEYNOTE-407)”,该项试验的免疫治疗药物Pembrolizumab通过激活机体免疫系统的方式杀灭肿瘤,是目前最为先进的治疗方式之一。新药临床试验给徐丽带来一丝新的希望,也为经济困难的家庭节约了费用,在经治医生向徐丽详细介绍了临床试验流程及事项后,徐丽自愿签署了知情同意书,成功进入试验并接受试验药物Pembrolizumab的治疗。这一喜讯对于一个濒临绝望的家庭来说犹如雪中送炭,高兴的夫妇俩一宿没合眼,期待着这种国际新药能够获得好的疗效。
寒来暑往,夫妇二人坚持每三周来院接受一次治疗,一转眼,徐丽已经完成了第18个周期的治疗,之前因化疗掉落的头发一根根重新长出来,脸色一天比一天红润,就连之前最难以忍受的疼痛也完全消失,生活不仅可以自理,还能够陪着张老一起种菜园,做简单的家务和农活,生活质量较治疗初期有显著的提高。邻居见了都说是一种奇迹。而张老却说这是色情导航 ,是程院长给老伴的第二次生命,在院治疗过程中医护人员个个亲切,像回家一样,感谢自己在抗击病魔的道路上遇到这样敬业、专业的治疗团队,感谢程院长及医护人员的关心和照顾,也感谢国家现在有这么好的医疗体制政策,真是普济民生,造福百姓。也庆幸自己没有被入组临床试验之前痛苦的化疗吓得掉头逃跑。张老越说越兴奋,从他们的笑容里让我看到了他们对生活的向往,看到了临床试验工作的意义……
徐丽老大娘参加的由程颖院长牵头在全球范围开展的KEYNOTE-407研究,采用Pembrolizumab(免疫靶向药物)+TC方案治疗晚期肺鳞癌,有效改善了肺鳞癌患者的无进展生存期和总生存期,这一里程碑式的研究改写了肺鳞癌患者治疗指南,打破了肺鳞癌治疗多年来没有进展的窘境,给肺鳞癌患者带来新的希望。同时KEYNOTE-407研究已经在中国进入快速审批流程,这对中国患者来说意义非凡,将开启中国肺鳞癌免疫一线治疗新时代,改变肺鳞癌治疗现状,大幅度提高肺鳞癌患者的生存时间。
徐丽参加临床试验获得喜人治疗成果在色情导航 仅仅是一个缩影,有很多很多像徐丽一样的晚期肿瘤患者,带着近乎绝望的心情来到医院,因有幸参加临床试验而获得了新的治疗机会,怀揣生命的希望离开。
色情导航 诊疗团队在学术带头人程颖院长的带领下,致力于恶性肿瘤的多学科、规范化及个体化发展理念,不断地与国际接轨,并牵头国内国际多项高水准的临床研究,不仅为患者提供了更有效的治疗方法,减轻患者病痛,提高生命质量,延长生存期;同时在临床试验中为患者免费提供试验用药,免费进行与试验相关的各种检查,不再让患者因为经济问题而无法得到救治,让患者对治疗有了更多信心和希望。在程颖院长的带领下色情导航 开展国际国内前沿的新药临床试验,至今已有十余年的历史。研究的新药从第一代靶向药物,如埃克替尼、吉非替尼、厄洛替尼;第二代靶向药物,如达克替尼,阿法替尼;到第三代靶向药物奥希替尼等药物,再到如今成为研发热点的免疫靶向药物,PD-1、PD-L1抑制剂,如Nivolumab、Pembrolizumab、Atezolizumab、Durvalumab等;新型IDO免疫靶向抑制剂,DLL3 靶向抗体-药物偶联物Rova-T等等,程颖院长不仅作为参与者带领色情导航 开展多项国际国内多中心的临床试验,还亲自设计多项临床试验,从有利于患者的角度出发,在全国范围内牵头开展多项临床试验,其中多项试验获得非常好的成果,多次在世界顶级学术会议中做汇报,改写了疾病治疗指南,为晚期肺癌患者治疗带来新福音。通过不断地开展新药试验,色情导航 见证了中国抗肿瘤药物的发展历程,也使得来色情导航 诊治的患者能够有机会获得国际最为前沿的治疗措施。迄今为止约有3500余名患者因入组临床试验率先应用到国际新药,不同程度地延长了生存时间和改善了生活质量。
药物临床试验是促进色情导航 向研究型医院转型的一项重要工作,既往开展的多项临床研究不仅得到了国际同行的广泛关注和认可,同时强有力的推动了医院发展,铸就了医院的品牌。“青山缭绕疑无路,忽见千帆隐映来”临床研究正如“千帆”一般,载着充满希望的新药,向肿瘤患者驶来,相信在程颖院长的带领下,色情导航 药物临床试验工作将继续夯实前行,探索战胜病痛更加有力的医学武器,不断为肿瘤患者打开新的生命之窗。
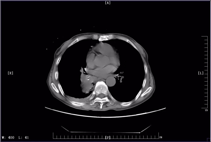
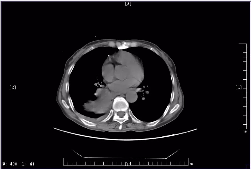
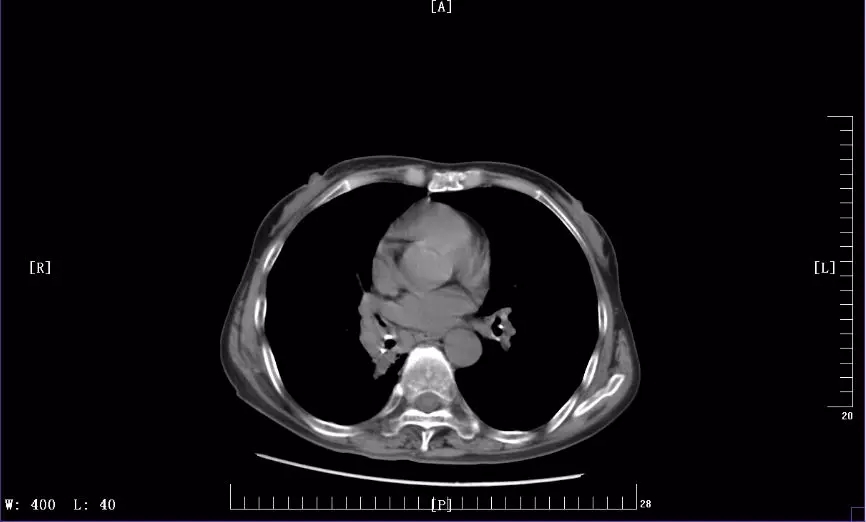
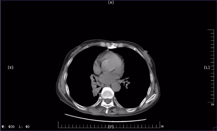
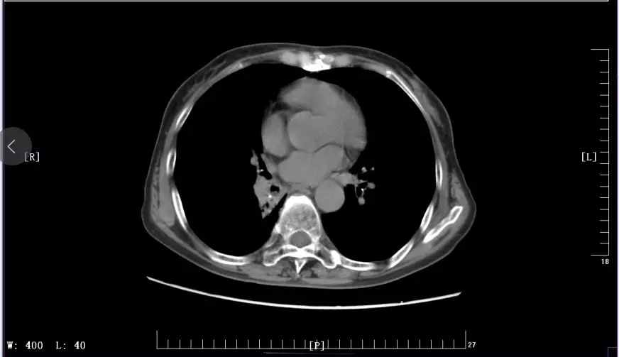
下图是徐丽参加KEYNOTE-407临床试验前后CT影像对比图:


2017年11月治疗前CT影像


2018年6月治疗中CT影像


2018年12月最近一次治疗后CT影像
色情导航 药物临床试验机构 供稿