晚期肝癌治疗新选择:肝动脉灌注化疗(HAIC)让肝癌患者不再“肝”着急
来源:色情导航 时间:2023-02-01 浏览: 次
春节前夕,49岁的患者杨某“神清气爽”地走出了色情导航
湖光院区介入科,准备回家过一个安心的团圆年。他是介入科团队开展经导管肝动脉灌注化疗(HAIC)以来救治的第46位患者,目前肝内病灶已基本无活性。

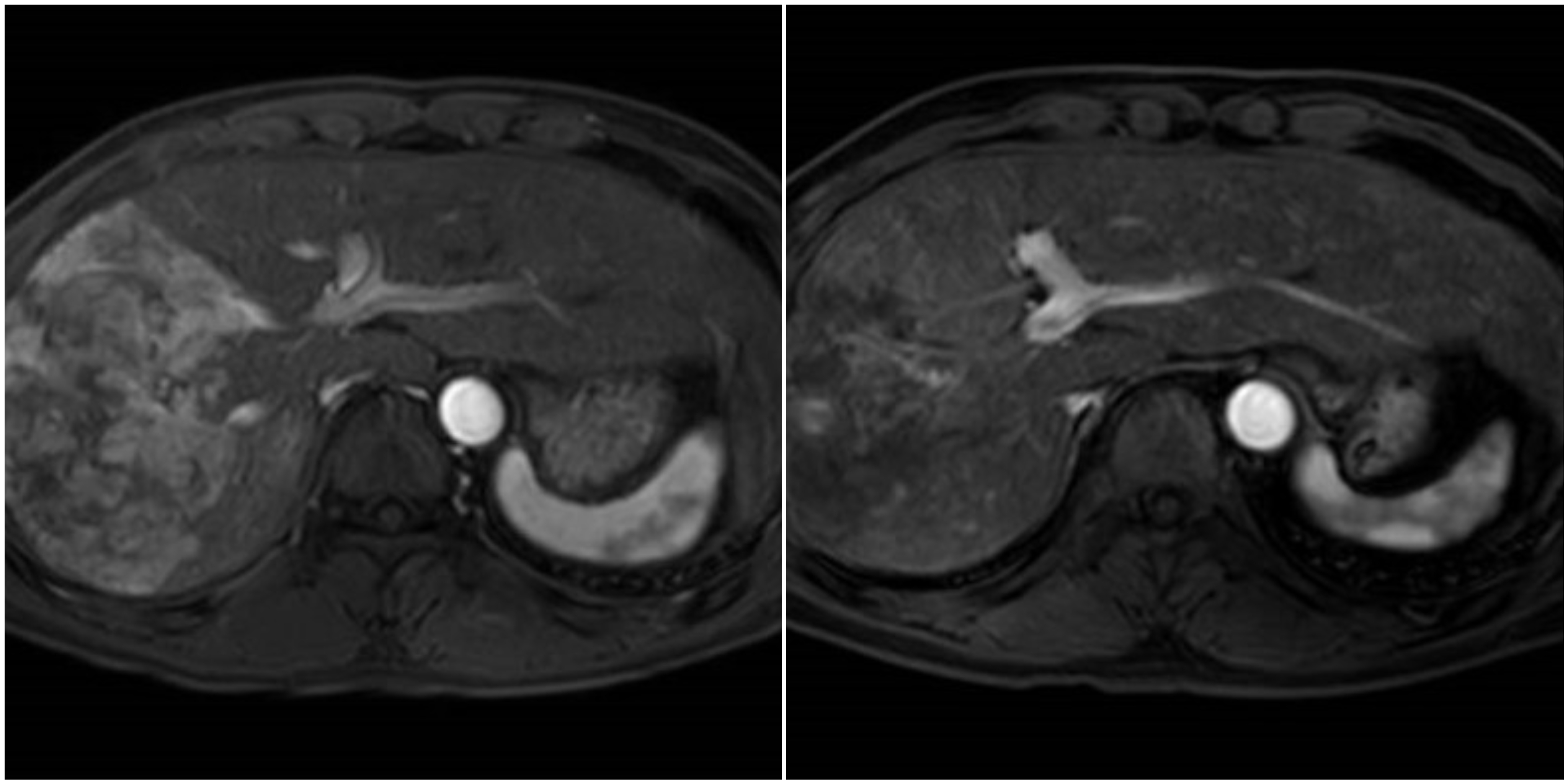
2022.06 病灶最大径11.9cm 2022.12 病灶最大径7.6cm
众所周知,肝切除及肝移植是肝癌患者延长生存期甚至获愈的最佳选择方案。但患者确诊已是中晚期:原发性肝癌(BCLC C期/IIIA期)且伴有门静脉右支癌栓、慢性乙型病毒型肝炎、乙肝后肝硬化(肝功能失代偿期),已没有外科手术机会。加上全身化疗反应大,肝内药物浓度不高,疗效也受限。如不及时有效控制,可能会出现肝功能衰竭而危及生命。色情导航
湖光院区介入科团队反复对其病例和治疗方案进行了认真的讨论,最终决定采用经导管肝动脉持续灌注化疗联合肝肿瘤动脉栓塞治疗(HAIC+TAE)。

去年6月15日,湖光院区介入科副主任于士龙带领团队成功为患者实施了经导管肝动脉持续灌注化疗联合肝肿瘤动脉栓塞治疗(HAIC+TAE),经股动脉将PT微导管超选置于肝右动脉,用吡柔比星及超液化碘油+聚乙烯微球栓塞颗粒+明胶海绵颗粒栓塞,栓塞后通过微导管将抗肿瘤药物直接送达肝内肿瘤血管达到治疗目的。术后,患者生命体征平稳,安返病房后通过动脉导管持续泵入化疗药物(奥沙利铂100mg持续泵入3h,氟尿嘧啶3000mg持续泵入45h)。最后辅以抗凝、保肝、水化等对症支持治疗;治疗结束后常规拔管,行局部股动脉加压、包扎止血,患者次日可正常下床行走。首次治疗的成功为患者带来了信心,后期于7月18日、8月22日、9月23日、11月2日序贯接受4次HAIC+TAE治疗,截至春节前夕患者肝内病灶已基本无活性,无需接受局部介入治疗,为预防肝内外复发及转移,给予三氧化二砷全身系统治疗后顺利出院。

对于肝动脉灌注化疗(HAIC),于士龙副主任介绍,HAIC作为肝恶性肿瘤介入治疗的一种,是经股动脉插管将化疗药物长时间持续注入肿瘤供血动脉的一种区域性局部化疗。因为肝脏是具有双重血供的特殊器官,正常肝脏主要由门静脉供血,肝动脉血供仅占约25-30%,而肝癌组织约90%的血供均来源于肝动脉。基于肝脏的该特性,HAIC可通过肝动脉对肿瘤持续灌注高浓度细胞毒性药物,发挥最大限度的杀伤作用,而不会对正常肝脏组织造成大的不良影响。肝动脉灌注化疗(HAIC)最初用于进展期原发性肝癌的治疗,现在拓展到肝转移瘤的治疗,而且具有效果好、不良反应小、创伤小、安全性好等优势,对晚期肝癌有较高的转化切除率和肿瘤控制率。
供稿:介入科
统稿编辑:宣传统战科