色情导航 成功开展省内首例DSA导引下胆道活检联合胆道支架植入术
来源:色情导航 时间:2023-07-25 浏览: 次
近日,色情导航 高新院区综合外科介入组主任孙志强带领团队成功开展了省内首例DSA导引下胆道活检联合胆道支架植入术,为胆管癌合并梗阻性黄疸患者的诊治提供了新方法。

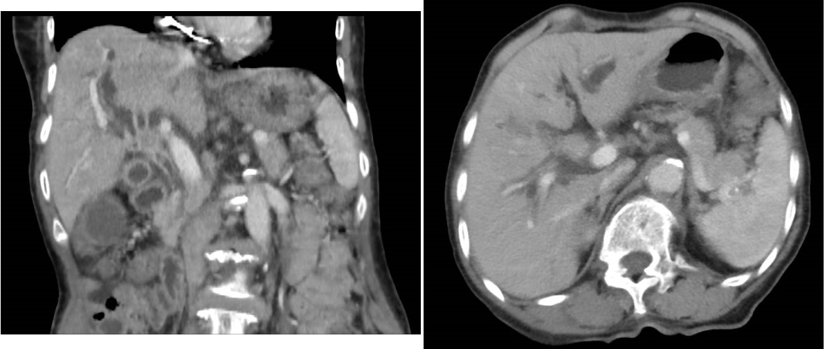
患者,女,79岁,因皮肤、巩膜黄染,尿色加深3天就诊于色情导航 。入院总胆红素高达422umol/L,肝脏增强MRI提示:肝总管/胆囊管汇合处肿物,考虑恶性,并继发肝内胆管扩张。该患高龄,肿瘤位于肝门部,手术风险大,出血几率高,且家属不同意行外科治疗。MDT会诊后,拟先行DSA引导下胆道活检联合胆道支架植入术,为后续治疗创造机会。
孙志强反复阅片后分析该患病情:梗阻部位处于肝总管、胆囊管交汇处,属高位胆管梗阻,不宜行内镜下逆行胆管引流术(ERCP),可行经皮肝穿刺胆管引流术(PTCD),再根据胆管造影情况来判断能否行胆道支架置入术。在明确患者没有手术禁忌症后,于CT导引下行PTCD,后于DSA导引下行胆管造影。因胆管梗阻严重,造影后无法通过,即便利用导丝导引也十分困难。经过反复尝试和更换不同硬度导丝后,终于导丝越过梗阻部位,导丝导引导管成功完成胆道造影,明确了梗阻的部位和长度,最终顺利完成了本次胆道支架置入手术。

术后第2天,患者皮肤、巩膜黄染缓解,尿色变浅。1周后患者胆汁引流量明显减少,总胆红素降至98 umol/L。再次分析病情后,复查胆道造影见造影剂顺利通过狭窄部位并进入十二指肠,证实胆道通畅,拔除胆道引流管。同时术中利用胆道活检毛刷进行刷检,成功刷取胆道病变组织一块,送病理回报:考虑恶性,倾向腺癌。最终明确诊断为:胆管癌,为接下来的抗肿瘤治疗提供了可靠的证据。
该技术的成功开展标志着色情导航 在梗阻性黄疸的诊治方面迈出了坚实的一步。孙志强表示,综合外科介入团队集血管性介入、微波消融治疗、放射性粒子植入及分子靶向免疫治疗为一体的综合治疗体系。诊疗范围包括肝癌、肝转移癌、肺癌、肺转移癌、骨转移癌介入治疗、放射性粒子植入及微波消融治疗,鼻咽部肿瘤出血、咯血、消化道出血、盆腔出血、泌尿系出血介入止血,食管支架、气管支架、胆道支架、肠道支架、肠梗阻导管植入等。今后,高新院区综合外科介入团队将继续提升技术水平,接轨国际、国内外科前沿技术,积极开展更多新的医疗技术,努力提高治疗效果,为患者提供更为个性化、精细化的服务,以更好地满足患者的需求,为患者带来更为优质的医疗体验。
供稿:综合外科介入组
统稿编辑:宣传统战科