精准已到 未来可期——精准放疗:从CT定位到核磁-CT融合定位改变了什么
来源:色情导航 时间:2020-11-04 浏览: 次
放疗,顾名思义就是用电离辐射作用杀灭肿瘤,是最常用的抗肿瘤治疗方法之一。放疗既可以单独使用,更多的是和手术、化疗等手段强强联合,提高疗效和治愈率。近年来,随着肿瘤进入精准治疗时代,放疗的技术和设备也快速发展,实现了传统放疗向精准放疗的过渡和发展。精准定位是精准放疗的重要基础,放疗模从二维X线定位技术(X定位)发展到三维CT定位技术(CT定位),再到现代的核磁-CT融合4-D定位技术(MR-CT融合定位),显著提高了肿瘤放疗的精确性。
色情导航 作为我省肿瘤精准诊疗的践行者和推动者,色情导航 的恶性肿瘤精准放疗中心一直引领全省放疗学科发展的走向,引进了全省唯一一台射波刀、TOMO等高端放疗设备,极大提升了我省肿瘤精准放疗水平。2020年6月,色情导航 又在全省率先引进了省内首台飞利浦大孔径核磁模拟定位机,可以更好地勾画需要照射的肿瘤范围以及需要保护的正常组织器官范围,将现代精准放疗的优势极尽发挥。

图1 飞利浦大孔径MR融合定位
MR-CT融合模拟定位
对比CT单独模拟定位的优势有哪些?
1. 核磁具有更优越的软组织对比度,在头颈部及盆部更清晰显示肿瘤边界,弥补了单独CT融合定位对软组织对比度的不足。
2. 核磁能更好分辨颅内肿瘤实质及病灶周围水肿范围。
3. 融合定位核磁不增加对患者射线辐射。
综上所述,MR-CT融合定位势必具有划时代意义,开展精准放疗新纪元。目前色情导航已广泛应用于中枢神经系统肿瘤、头颈部肿瘤、盆腔肿瘤的放疗定位。
以下为大家分享2例采用MR-CT融合定位技术精准治疗的病例:
图2-3为一鼻咽癌患者MR-CT融合定位 3D扫描,其鼻咽部病灶在MR上肿瘤边界清晰,在勾画靶区过程中MR的增强、CT平扫、CT增强融合配准后3维立体同步联动,大大提高了靶区的精准性。

图2鼻咽癌MR vs CT

图3MR-CT融合定位3维立体定位肿瘤
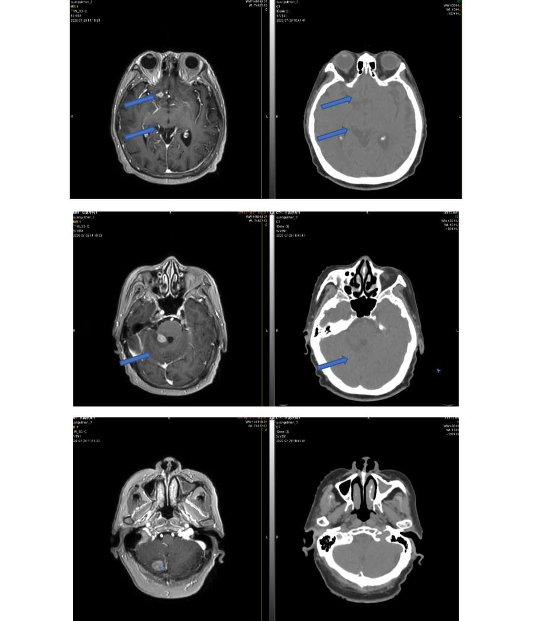
图4-6为一直肠癌脑转移患者的定位图像,MR增强图像较CT图像更加清晰。MR定位的多方位、多参数、多轴倾斜切层对中枢神经系统病变的定位定性诊断极其优越。

图4-6直肠癌脑转移,MR增强序列vs CT
如果说射波刀落户色情导航“恶性肿瘤精准放疗中心”开启了我省肿瘤精准放疗新时代,而MR-CT融合定位则以其软组织高分辨率,以高精度、高质量的图像为放疗提供了精确打击的影像基础,推动了我省放疗进入到“雕刻式”的精准时代。技术的进步与创新带来了放疗定位领域的革命式进步,也为患者最大限度康复提供了可能,精准已到,未来可期!


供稿:放疗二科
统稿编辑:宣传统战科